Füllungen: Diagnostik

Sie sind hier: Home » Leistungen » Füllungen » Diagnostik

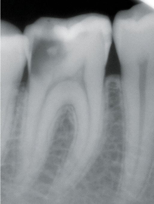
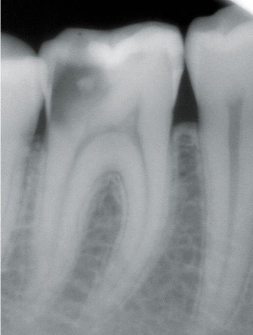
Röntgendiagnostik

Röntgendiagnostik

Aus heutiger Sicht geht es nicht nur um die Entscheidung, ob ein bestimmter Zahn oder eine bestimmte Zahnfläche eine Restauration benötigt, sondern es geht auch darum, durch die Kariesdiagnostik Phasen aktuell hoher oder niedriger Kariesaktivität zu erkennen.

Unterschieden werden initiale Karies, Dentinkaries sowie Fissurenkaries, Approximalkaries und Wurzelkaries.

Die klinische Untersuchung, insbesondere die visuelle Inspektion (Lupenbrille) sind Standard, um auch die "hidden caries zu erkennen. Zusätzliche Maßnahmen können Röntgenaufnahmen und Kariesdetektoren sein, um Frühstadien zu erkennen.

Mehr zu Füllungen:

Praxis für Zahnheilkunde
Zertifizierter Tätigkeitsschwerpunkt
Endodontie/Wurzelbehandlung

Dr. Michael Dörzapf
Karlstr. 158
66127 Klarenthal

Kontakt:
Tel.: 0 68 98 / 39 5 77
Fax: 0 68 98 / 39 5 76
dr@doerzapf.com

Öffnungszeiten:
nach Vereinbarung


Zahnzusatzversicherungen im Vergleich:

www.waizmanntabelle.de

zum Vergrößern klicken...

Ästhetische Zahnmediziner
in Saarbrücken auf jameda

Wir verwenden Cookies um unsere Website zu optimieren und Ihnen das bestmögliche Online-Erlebnis zu bieten. Mit dem Klick auf „Alle erlauben“ erklären Sie sich damit einverstanden. Weiterführende Informationen und die Möglichkeit, einzelne Cookies zuzulassen oder sie zu deaktivieren, erhalten Sie hier und in unserer Datenschutzerklärung.

Einstellungen